Nowa jakość w ekspansji podniebienia
Powstały na podstawie wieloletnich badań, sprawdzony klinicznie1 system Invisalign® Palatal Expander oferuje rewolucyjną metodę ekspansji szkieletowej.


Poznaj niewątpliwe zalety leczenia interceptywnego z użyciem systemu Invisalign® Palatal Expander.
System opracowano z myślą o lekarzach i ich pacjentach.


Skuteczność kliniczna leczenia2
Leczenie Invisalign Palatal Expander pozwala osiągnąć cele kliniczne, czyli rozsunięcie szwu podniebiennego.


Prosty, cyfrowy przepływ pracy
Prostota integracji z procedurami praktyki, wystarczy zwykły skan iTero™.


Skrócenie czasu fotelowego
Podczas leczenia tym systemem występuje mniej powikłań, a pilne wizyty są rzadsze3 , co może przekładać się na skrócenie czasu fotelowego.


Pozytywne doświadczenia pacjentów
Invisalign Palatal Expander zapewnia realizację celów wyznaczanych przez lekarza przy mniejszym bólu4 i niepokoju dla pacjentów i ich rodziców.


Skuteczność kliniczna leczenia2
Leczenie Invisalign Palatal Expander pozwala osiągnąć cele kliniczne, czyli rozsunięcie szwu podniebiennego.


Prosty, cyfrowy przepływ pracy
Prostota integracji z procedurami praktyki, wystarczy zwykły skan iTero™.


Skrócenie czasu fotelowego
Podczas leczenia tym systemem występuje mniej powikłań, a pilne wizyty są rzadsze3 , co może przekładać się na skrócenie czasu fotelowego.


Pozytywne doświadczenia pacjentów
Invisalign Palatal Expander zapewnia realizację celów wyznaczanych przez lekarza przy mniejszym bólu4 i niepokoju dla pacjentów i ich rodziców.
Poznaj supernowoczesną konstrukcję Invisalign Palatal Expander.
Dzięki systemowi Invisalign Palatal Expander pacjenci cieszą się większym komfortem5 i mniejszymi obawami:
Gładka powierzchnia językowa dla wygody pacjenta.
Pokrycie podniebienia o grubości dostosowanej do anatomii pacjenta.
Wygodny uchwyt ułatwiający wkładanie i wyjmowanie.


Oferuj nową jakość nie tylko pacjentom, ale i swojemu personelowi.
Dzięki systemowi Invisalign Palatal Expander diametralnie uprościsz wizyty rozpoczynające i kończące leczenie ekspansyjne:
Zakładanie Invisalign Palatal Expander
Zakładanie Invisalign Palatal Expander to prosta czynność. Większość dzieci poradzi z tym sobie samodzielnie. Invisalign Palatal Expander można z łatwością wyjąć, co ułatwia dbałość o higienę jamy ustnej.


Wychwytuj problemy w fazie rozwoju i zapobiegaj potencjalnym następstwom zaniedbania leczenia.
Zakres zastosowań klinicznych Invisalign Palatal Expander:
Wskazania: System jest przeznaczony do szybkiej ekspansji, a następnie do podtrzymania szczęki górnej wąskiej z powodu wad kostnych (górna szczęka, łuk zębowy i zęby, podniebienie), zawierającej zęby mleczne, mieszane lub stałe, podczas leczenia ortodontycznego i ortopedycznego.
Profil pacjenta: Pacjenci rosnący lub dorośli (w połączeniu z zabiegiem chirurgicznym lub innymi interwencjami, jeśli są konieczne).
Liczba ekspanderów aktywnych i retencyjnych: Nieograniczona6 przy okresie leczenia trwającym 18 miesięcy.
Typowy czas leczenia: Około 1 miesiąc aktywnej ekspansji w zależności od nasilenia wady.




Przekonaj się, co inni lekarze mówią o tym nowym, ekscytującym sposobie wczesnego leczenia ortodontycznego.
System Invisalign Palatal Expander jest bardziej wygodny i równie skuteczny5.
przeszkolonych ortodontów Invisalign biorących udział w badaniu ankietowym potwierdza, że poleciliby system Invisalign Palatal Expander swoim koleżankom i kolegom7.
pacjentów leczonych Invisalign Palatal Expander przestrzegało zaleceń podczas leczenia ekspansyjnego8.
przeszkolonych ortodontów Invisalign biorących udział w badaniu ankietowym potwierdza, że jakość życia* dzieci leczonych systemem Invisalign Palatal Expander jest wyższa od tych leczonych tradycyjnymi ekspanderami podniebiennymi9.
przeszkolonych ortodontów Invisalign biorących udział w badaniu ankietowym potwierdza, że poleciliby system Invisalign Palatal Expander swoim koleżankom i kolegom7.
pacjentów leczonych Invisalign Palatal Expander przestrzegało zaleceń podczas leczenia ekspansyjnego8.
przeszkolonych ortodontów Invisalign biorących udział w badaniu ankietowym potwierdza, że jakość życia* dzieci leczonych systemem Invisalign Palatal Expander jest wyższa od tych leczonych tradycyjnymi ekspanderami podniebiennymi9.
Uwolnij potęgę prostoty.
Oferuj uproszczone i spersonalizowane leczenie polegające na stopniowym rozszerzaniu szwu podniebiennego.
Etap 1: Ekspandery aktywne i retencyjne są wytwarzane techniką druku 3D dla konkretnego pacjenta, z uwzględnieniem jego niepowtarzalnych cech anatomicznych, na podstawie zwykłego skanu iTero.
Etap 2: Pacjent nosi kolejne zdejmowalne ekspandery, które stopniowo rozszerzają podniebienie.
Etap 3: Po uzyskaniu pożądanego zakresu ekspansji pacjent zaczyna nosić ekspandery retencyjne (wymieniane co 2–4 tygodnie), które stabilizują podniebienie.
Uwaga: Ekspandery aktywne i retencyjne utrzymują zaczepy10 przyklejone do zębów pacjenta i ułatwiające zachowanie prawidłowego ustawienia aparatu.




Bezproblemowe przejście do leczenia Invisalign First™.
W połączeniu z przezroczystymi nakładkami Invisalign First™ Invisalign Palatal Expanders dają lekarzom wszechstronne rozwiązanie umożliwiające wczesną interwencję, której składnikiem ma być kostna (ortopedyczna) i zębowa (ortodontyczna) ekspansja łuku. Dowiedz się więcej o leczeniu fazy 1. nakładkami Invisalign First.




Przeglądaj wybór opisów przypadków.
Razem rewolucjonizujemy metody wczesnego leczenia interceptywnego rosnących pacjentów.
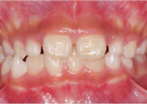
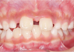
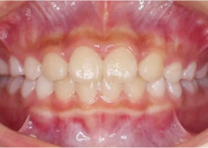
Opis przypadku nr 1
10 lat, 0 miesięcy, 18 etapów leczenia Invisalign Palatal Expander
Dzięki uprzejmości dr Sandry Khong Tai


Przed ekspansją eInvisalign Palatal Expander


Po ekspansji Invisalign Palatal Expander


Po leczeniu Invisalign First


Przed ekspansją eInvisalign Palatal Expander


Po ekspansji Invisalign Palatal Expander


Po leczeniu Invisalign First
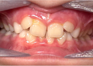
Opis przypadku nr 2
7 lat, 11 miesięcy, 24 etapy leczenia Invisalign® Palatal Expanders
Dzięki uprzejmości dr. Davida R. Boschkena


Przed ekspansją eInvisalign Palatal Expander


Po ekspansji Invisalign Palatal Expander


Po leczenie Invisalign Palatal Expander


Przed ekspansją eInvisalign Palatal Expander


Po ekspansji Invisalign Palatal Expander


Po leczenie Invisalign Palatal Expander
Często zadawane pytania
Inne pytania i prośby o kompletny zestaw często zadawanych należy kierować do przedstawiciela Invisalign.
1. Czym jest system Invisalign® Palatal Expander?
System Invisalign Palatal® Expander (IPE) to pierwszy wyrób ortodontyczny Align wytwarzany metodą bezpośredniego druku 3D (produkcja addytywna), który jest przeznaczony do ekspansji szkieletowej u rosnących pacjentów. System składa się z serii zleconych przez lekarza, zdejmowanych aktywnych i retencyjnych ekspanderów.
2. Z czego wykonane są ekspandery IPE?
Ekspandery aktywne i retencyjne Invisalign są wytwarzane z poliamidu 12, czyli polimeru znanego też pod nazwą nylon 12, który jest rodzajem nylonu.
3. Ile ekspansji w mm można uzyskać dziennie? Czy mogę kontrolować ekspansję tak, by ograniczyć jej zakres na każdym etapie?
Po etapie 0 (pasywnym) w każdym etapie występuje ekspansja aktywna z przemieszczeniem 0,25 mm na etap.
Ekspandery można zmieniać codziennie, by uzyskać szybką ekspansję, albo zmieniać z mniejszą częstotliwością, by spowolnić ekspansję zgodnie z uznaniem lekarza.
4. Jakie są kryteria kwalifikacji do leczenia ekspanderami IPE?
Należy przestrzegać kryteriów kwalifikacji w zależności od przypadku. Kryteria doboru pacjentów:
3 stabilne zęby na kwadrant górnego łuku
Wysokość korony co najmniej 4 mm
Pierwsze trzonowce stale (6)
Pierwsze trzonowce mleczne (D) lub pierwszy przedtrzonowiec (4)
Drugie trzonowce mleczne (E) lub drugi przedtrzonowiec (5)
Wyrżnięte drugie trzonowce stałe (7), jednak ekspander nie będzie ich obejmował
Kły (C/3) mogą być wyrżnięte, jednak ekspander IPE nie będzie ich obejmował.
Zastosowanie może być niemożliwe:
Krótkie korony kliniczne:
W przypadku krótkich koron klinicznych (<4 mm) lub niestabilnych górnych pierwszych stałych trzonowców, górnych drugich mlecznych trzonowców i górnych pierwszych mlecznych trzonowców może wystąpić brak retencji wyrobu lub trudności w osadzaniu zaczepów.
Odbudowy stomatologiczne:
W przypadku zębów z koronami ze stali nierdzewnej lub innymi rodzajami odbudowy mogą wystąpić brak retencji wyrobu, oddziaływanie nadmiernych sił na odbudowy lub trudności w osadzaniu zaczepów.
Pacjenci z koronami ze stali nierdzewnej mogą kwalifikować się do leczenia zgodnie z uznaniem lekarza (należy pamiętać, że Invisalign First Palatal Expander pokryje te zęby).
Pacjenci ze schorzeniami podniebienia:
Egzostoza lub rozszczep podniebienia.
Zastosowanie niewskazane w następujących przypadkach:
Brakujące zęby pod ekspanderem IPE (tj. D/4, E/5 i 6)
Tylko uzębienie mleczne (niewyrżnięte jeszcze 6)
5. Ile jest etapów trwa leczenie? Czy wszystkie ekspandery są wysyłane jednocześnie? Czy dla każdego etapu dostarczany jest 1 czy 2 ekspandery?
Invisalign Palatal Expanders są dostarczane w komplecie po 1 ekspanderze na etap. Do zamawiania dodatkowych ekspanderów służy formularz preskrypcji.
Liczba etapów jest określana przez lekarza na podstawie celu klinicznego:
Liczba ekspanderów (i odpowiadająca im liczba etapów) zostaje określona na podstawie pożądanego zakresu ekspansji wskazanego w formularzu preskrypcji: ekspansja na każdym etapie wynosi 0,25 mm na dzień, a maksymalny możliwy do zlecenia zakres ekspansji to 12 mm. Lekarz może w dowolnym momencie przerwać ekspansję na podstawie obserwacji klinicznych / preferencji i zamówić ekspandery retencyjne Invisalign. Ekspandery retencyjne Invisalign zamawia się osobno w formularzu preskrypcji.
Liczba etapów podtrzymania jest również określana przez lekarza na podstawie wymaganego czasu podtrzymania (w tygodniach). Ekspander retencyjny to kopia ekspandera z ostatniego etapu, ma ona ustabilizować podniebienie po aktywnej ekspansji i zmienia się je co 2–4 tygodnie.
Ekspandery aktywne i retencyjne wysyłane są oddzielnie – ekspandery retencyjne są wytwarzane po osiągnięciu pożądanej aktywnej ekspansji, gdy lekarz określi w formularzu preskrypcji, od którego etapu należy rozpocząć fazę podtrzymania.
6. Jaka jest grubość ekspandera na każdym z etapów? Czy na każdym etapie jest taka sama?
Grubość ekspandera jest dostosowana do niepowtarzalnych cech anatomicznych pacjenta. Na tej samej zasadzie dobierana również grubość obszaru podniebiennego.
7. Grubość ekspandera jest dostosowana do niepowtarzalnych cech anatomicznych pacjenta. Na tej samej zasadzie dobierana również grubość obszaru podniebiennego.
Ekspander ma oddziaływać z taką samą lub zbliżoną siłą poprzeczną na każdym etapie leczenia, jednak siła ta może się zmieniać w zależności od cech anatomicznych pacjenta.
8. Czy pacjent musi wyjmować ekspander IPE przed jedzeniem? Jeśli nie, to jakich pokarmów/napojów trzeba unikać?
Pacjenci nie muszą wyjmować ekspandera przed jedzeniem i piciem. Jednak zaleca się dokładne wypłukanie ust po każdym posiłku.
Uwaga: Żucie twardych, kleistych lub słodkich potraw (w tym gumy do żucia) może uszkodzić ekspander i (lub) zęby pacjenta, więc należy unikać takich potraw. Picie słodzonych lub kwaśnych napojów może uszkodzić zęby pacjenta i należy go unikać.
Przed założeniem ekspandera pacjent powinien myć i nitkować zęby. Jeśli pacjent nie ma dostępu do szczoteczki do zębów, może po prostu wypłukać usta i wyczyścić ekspander, płucząc go bieżącą wodą.
Pacjenci nie powinni wyrzucać oryginalnych woreczków, ponieważ posłużą one do przechowywania zużytych ekspanderów.
Uwaga
: Lekarz powinien ocenić, czy dany pacjent powinien wyjmować ekspander podczas jedzenia (należy wziąć pod uwagę wiek pacjenta oraz zdolność do wyjmowania i ponownego zakładania wyrobu) oraz doradzić pacjentom i opiekującym się nimi osobom dorosłym, aby przestrzegali właściwej higieny jamy ustnej oraz instrukcji używania i pielęgnacji. Lekarz powinien polecić pacjentowi zapoznanie się z instrukcją używania i pielęgnacji. Wersję papierową można zamówić na stronie internetowej dla lekarzy Invisalign na karcie Support (Wsparcie).
9. Welche Intraoralscanner kann ich verwenden?
Zgodnie z obecnie wykorzystywanymi procesami biznesowymi Align Technology, Inc. akceptuje aktualnie wyłącznie skany wykonane komercyjnie dostępnymi cyfrowymi skanerami wewnątrzustnymi iTero (oferowanymi przez Align Technology, Ltd.). Nie są akceptowane skany wykonane na urządzeniach innych firm ani wyciski PVS. Pełny sposób użytkowania opisano w podręczniku obsługi skanera iTero.
Wykonując skan na potrzeby leczenia przez rozszerzanie podniebienia, musi on obejmować podniebienie, dziąsła i powierzchnie koron.
System Invisalign Palatal Expander jest kompatybilny ze wszystkimi cyfrowymi skanerami wewnątrzustnymi marki iTero. Listę skanerów dostępnych na poszczególnych rynkach można uzyskać w dziale obsługi klienta lub znaleźć na stornie internetowej iTero.
10. Jakich materiałów można używać do osadzania zaczepów?
Skrócony przewodnik systemu IPE podaje wykaz czynników wiążących i kompozytów, które można stosować z systemem Invisalign Palatal Expander. Wykaz powstał na podstawie testów ścinania połączenia przeprowadzonych przez Align Technology.
11. Na jakich zębach osadza się zaczepy?
Na 6 i E (ale jeśli pacjent ma wystarczająco wyrżnięte 5, zaczepy należy osadzić na nich).
12. Jaki jest zakres zakrycia zębów / ile zębów jest zakrytych przez ekspander IPE?
Zakryte są 3 zęby (D, E, 6), ale zaczepy osadza się na 2 zębach.