Przedstawiamy system Invisalign® z Mandibular Advancement i blokami okluzyjnymi
Pierwsze przezroczyste nakładki Align z litymi blokami, dla zminimalizowania kruszenia, są przeznaczone do leczenia wad zgryzu klasy II i jednoczesnego prostowania zębów.




Dowiedź się więcej na temat nowego podejścia do leczenia wad klasy II


SYSTEM INVISALIGN® NA NOWO DEFINIUJE LECZENIE WAD ZGRYZU KLASY II U ROSNĄCYCH PACJENTÓW
Skuteczne leczenie.
Wyższy komfort1
i lepsza współpraca pacjenta2.
Przewidywalne przemieszczenia zębów.
System Invisalign z Mandibular Advancement i blokami okluzyjnymi minimalizuje potrzebę stosowania wielu aparatów w leczeniu wad zgryzu klasy II, jednocześnie wyrównując zęby. System wykonany z zastrzeżonego materiału SmartTrack™, który zachowuje się w sposób przewidywalny i jest wygodniejszy niż materiały stosowane w tradycyjnych aparatach1. To ważne, bowiem komfort pacjenta ma kluczowe znaczenie dla przestrzegania czasu noszenia nakładek niezbędnego do osiągnięcia optymalnych wyników2.




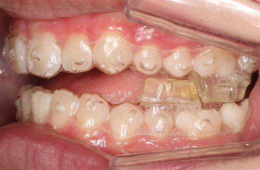
Jak działają bloki okluzyjne
Bloki w przezroczystych nakładkach Invisalign umieszczone są na powierzchni okluzyjnej.
Gdy pacjent zwiera szczęki w pozycji doprzedniej, bloki okluzyjne zachodzą na siebie, przesuwając i utrzymując pozycję żuchwy.
System pozwala wysuwać żuchwę i jednocześnie przemieszczać zęby w ramach leczenia wad zgryzu klasy II, w tym ciężkiego zgryzu głębokiego.




Przypadek użycia klinicznego
System Invisalign® z Mandibular Advancement i blokami okluzyjnymi to innowacyjne rozwiązanie przeznaczone do leczenia wszystkich rodzajów wad zgryzu klasy II.
Pacjenci w fazie skoku rozwojowego (10–16 lat)
Retrognatyczne wady zgryzu klasy II.
Głęboki nagryz pionowy <7 mm
Kryteria wykluczenia pacjenta:
Nie w pełni wyrżnięte 1. trzonowce
Brak dowolnego drugiego górnego przedtrzonowca lub mlecznego trzonowca
Brak dowolnego dolnego przedtrzonowca lub mlecznego trzonowca






